Kiến thức nha khoa
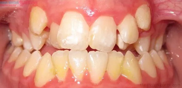
Răng khấp khểnh phải làm sao? Nguyên nhân và cách xử lý
Răng khấp khểnh, hay còn gọi là răng lệch lạc, là một tình trạng phổ biến trong nha khoa. Đây là tình trạng răng mọc sai vị trí, không đều...
Răng lòi xỉ phải làm sao? Nguyên nhân và cách điều trị
Răng lòi xỉ là một tình trạng phổ biến và khá phức tạp trong lĩnh vực nha khoa. Đây là một vấn đề thẩm mỹ quan trọng, ảnh hưởng đến...
Răng lung lay phải làm sao? Nguyên nhân và cách xử lý
Răng là một trong những cấu trúc quan trọng nhất trong cơ thể con người. Chúng giữ vai trò then chốt trong việc nhai, nhai, nuốt thức ăn, hình thành...
Răng bị đen trên bề mặt là gì? Nguyên nhân và cách xử lý
Răng là một phần quan trọng trong hệ thống cơ quan ăn nhai của chúng ta. Một hiện tượng thường xảy ra là răng bị đen trên bề mặt, gây...
Răng bị đen ở kẽ phải làm sao? Nguyên nhân và cách xử lý
Răng bị đen ở kẽ phải làm sao? là thắc mắc được nhiều người đưa ra . Bài viết dưới đây sẽ giúp bạn giải đáp thắc mắc trên và...
Răng hàm có thay không? Trẻ mấy tuổi thay và cách chăm sóc
Răng hàm là một phần quan trọng của hệ thống răng miệng, đóng vai trò quan trọng trong việc nhai, nghiền thức ăn và bảo vệ xương hàm. Tuy nhiên,...
Răng số 6 có thay không? Vị trí và vai trò của răng số 6
Vậy răng số 6 là gì, nằm ở vị trí nào, răng số 6 có thay không , có cấu tạo và chức năng như thế nào? Liệu chúng có...
Răng mọc lẫy là gì? Nguyên nhân, hậu quả và cách xử lý
Răng mọc lẫy, hay còn được gọi là răng mọc lệch, là tình trạng răng cửa hàm dưới không mọc đúng vị trí bình thường trên cung hàm. Điều này...

