Kiến thức nha khoa
Khớp cắn sâu là gì? Nguyên nhân, tác hại và cách điều trị
Khớp cắn sâu là gì là thắc mắc được nhiều người đưa ra . Bài viết dưới đây sẽ tổng hợp nguyên nhân, tác hại và cách điều trị tình...
Siết răng khi niềng có đau không? Đau bao lâu và lưu ý
Bác sĩ thường thực hiện siết răng khi niềng , vậy siết răng khi niềng có đau không , đau bao lâu , làm sao giảm đau khi siết răng...
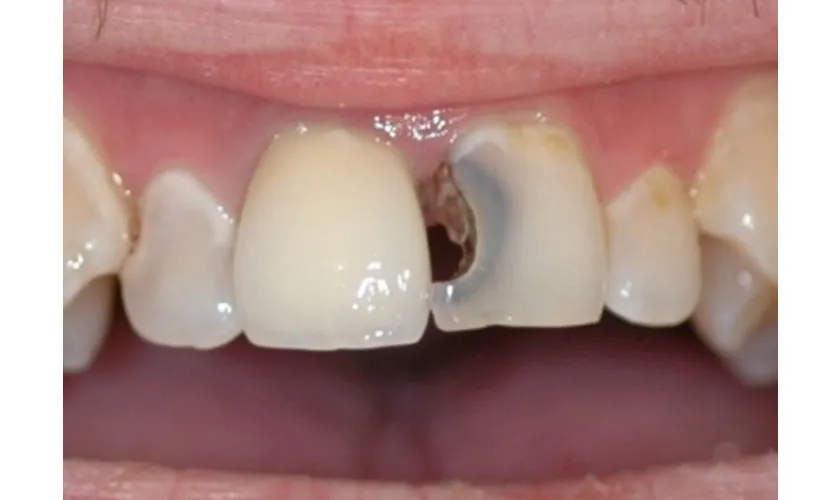
Răng bị mẻ phải làm sao? Nguyên nhân và cách phục hồi
Răng bị mẻ phải làm sao là thắc mắc được nhiều người đưa ra . Cùng Nha khoa Singae tìm hiểu nguyên nhân và cách phục hồi răng mẻ nhanh...
Review 8 địa chỉ phòng khám nha khoa tphcm uy tín
Việc tìm kiếm một phòng khám nha khoa uy tín với dịch vụ chất lượng cao là mối quan tâm hàng đầu của nhiều người. Bài viết này sẽ gợi...
Nha khoa thẩm mỹ có những dịch vụ nào? Các dịch vụ phổ biến
Trong xã hội hiện đại, một nụ cười rạng rỡ không chỉ là biểu hiện của sự tự tin và sức khỏe mà còn là một yếu tố quan trọng...
8 dịch vụ nha khoa thẩm mỹ phổ biến hiện nay
Trong thời đại ngày nay, ngoại hình và vẻ ngoài càng trở nên quan trọng hơn bao giờ hết. Nụ cười đẹp, hàm răng khỏe mạnh không chỉ là điều...
Bọc răng sứ có bền không, vĩnh viễn không? Cách tăng độ bền
Bọc răng sứ đang trở thành một lựa chọn phổ biến để cải thiện nụ cười và chức năng nhai. Tuy nhiên, nhiều người vẫn còn băn khoăn về bọc...
Những trường hợp nên bọc răng sứ và không nên cần lưu ý
Bọc răng sứ là một phương pháp nha khoa thẩm mỹ phổ biến, giúp cải thiện ngoại hình và chức năng của răng. Tuy nhiên, không phải ai cũng phù...

