Kiến thức nha khoa
Bầu bị chảy máu chân răng : Nguyên nhân và cách điều trị
Chảy máu chân răng là một trong những vấn đề phổ biến mà nhiều bà bầu thường gặp phải trong thai kỳ. Tình trạng bà bầu bị chảy máu chân...
Răng sữa không rụng có sao không? Nguyên nhân và cách trị
Răng sữa không rụng là một hiện tượng phổ biến ở trẻ em, có thể gây ra nhiều lo lắng cho phụ huynh. Đây là tình trạng khi răng sữa...
Hôi miệng từ cổ họng là gì? Nguyên nhân và cách điều trị
Hôi miệng từ cổ họng là một trong những vấn đề sức khỏe khó chịu và phức tạp mà nhiều người gặp phải. Không chỉ ảnh hưởng đến chất lượng...
Răng cửa bị nứt nhẹ: Nguyên nhân, triệu chứng và cách trị
Răng cửa bị nứt nhẹ là một trong những vấn đề răng miệng phổ biến mà nhiều người gặp phải trong cuộc sống hàng ngày. Tình trạng này không chỉ...
Sau khi nhổ răng bao lâu thì được uống nước ?
Nhổ răng là một trong những thủ thuật nha khoa phổ biến nhất hiện nay, và câu hỏi "sau khi nhổ răng bao lâu thì được uống nước" luôn được...
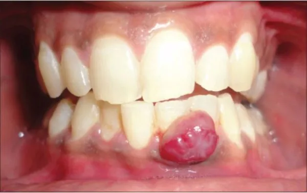
Sưng nướu răng có mủ là gì? Nguyên nhân và cách phòng ngừa
Sưng nướu răng có mủ là một trong những vấn đề răng miệng phổ biến mà nhiều người gặp phải. Tình trạng này không chỉ gây ra sự khó chịu...
Sún răng là gì? Phân biệt sún răng và sâu răng ở trẻ em
Sún răng là một vấn đề răng miệng phổ biến ở trẻ nhỏ, đặc biệt trong độ tuổi từ 1-3 tuổi. Hiện tượng này không chỉ ảnh hưởng đến thẩm...
Hướng dẫn 7 cách trị áp xe răng tại nhà đơn giản, hiệu quả
Việc trị áp xe răng tại nhà là mối quan tâm của nhiều người khi gặp phải tình trạng này. Tuy nhiên, để đảm bảo hiệu quả và an toàn,...

