Sưng nướu răng có mủ là gì? Nguyên nhân và cách phòng ngừa
Sưng nướu răng có mủ là một trong những vấn đề răng miệng phổ biến mà nhiều người gặp phải. Tình trạng này không chỉ gây ra sự khó chịu và đau đớn mà còn có thể dẫn đến những biến chứng nghiêm trọng nếu không được điều trị kịp thời. Bài viết này sẽ cung cấp cho bạn những thông tin chi tiết về nguyên nhân, triệu chứng và cách phòng ngừa hiệu quả tình trạng sưng nướu răng có mủ.
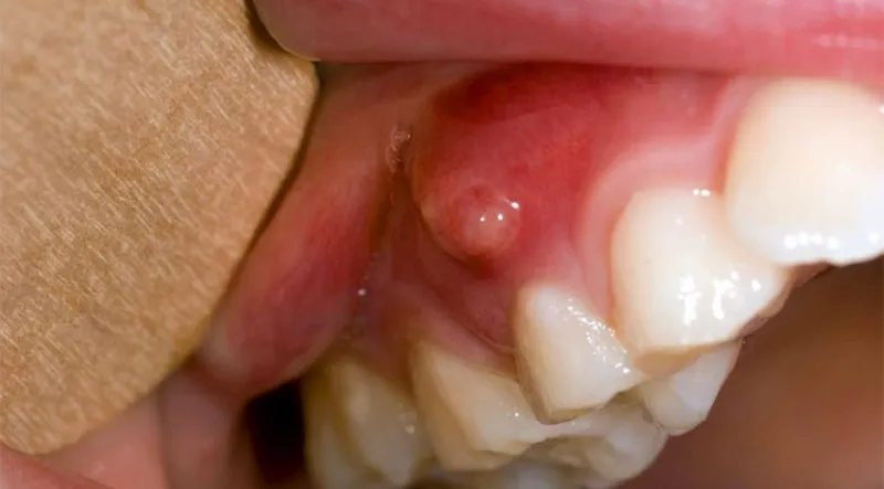
Thế nào là sưng nướu răng có mủ?
Sưng nướu răng có mủ là tình trạng viêm nhiễm nướu nghiêm trọng, trong đó các mô nướu bị tổn thương và nhiễm khuẩn, dẫn đến sự hình thành mủ. Đây không chỉ đơn thuần là một vấn đề thẩm mỹ mà còn là dấu hiệu cảnh báo của nhiều bệnh lý răng miệng nghiêm trọng.
Cơ chế hình thành mủ ở nướu răng
Khi vi khuẩn xâm nhập vào mô nướu, hệ thống miễn dịch của cơ thể sẽ phản ứng bằng cách gửi các tế bào bạch cầu đến khu vực bị nhiễm trùng. Quá trình này tạo ra phản ứng viêm, dẫn đến sưng tấy và tích tụ mủ. Mủ chính là hỗn hợp của các tế bào bạch cầu chết, vi khuẩn và các mảnh vỡ tế bào.
Trong nhiều trường hợp, tình trạng này có thể phát triển thành áp-xe nướu, một túi mủ khu trú gây đau đớn và khó chịu cho người bệnh. Nếu không được điều trị kịp thời, áp-xe có thể vỡ ra và lan rộng, gây nhiễm trùng cho các vùng lân cận.

Mức độ nguy hiểm của sưng nướu răng có mủ
Sưng nướu răng có mủ không chỉ ảnh hưởng đến sức khỏe răng miệng mà còn có thể gây ra nhiều biến chứng nguy hiểm:
- Nhiễm trùng lan rộng đến xương hàm
- Tổn thương dây thần kinh răng
- Mất răng vĩnh viễn
- Ảnh hưởng đến sức khỏe toàn thân
Đối tượng dễ mắc phải tình trạng này
Một số nhóm người có nguy cơ cao mắc phải tình trạng sưng nướu răng có mủ bao gồm:
- Người có thói quen vệ sinh răng miệng kém
- Người hút thuốc lá
- Người mắc bệnh tiểu đường
- Phụ nữ mang thai
- Người có hệ miễn dịch suy yếu
Nguyên nhân dẫn đến tình trạng sưng nướu răng có mủ
Việc hiểu rõ các nguyên nhân gây ra sưng nướu răng có mủ là bước quan trọng trong việc phòng ngừa và điều trị hiệu quả. Có nhiều yếu tố khác nhau có thể dẫn đến tình trạng này, từ vấn đề về răng miệng cho đến các yếu tố bên ngoài.
Do răng mắc các bệnh lý viêm nhiễm
Các bệnh lý viêm nhiễm răng miệng là một trong những nguyên nhân phổ biến nhất gây ra sưng nướu răng có mủ. Khi răng bị viêm nhiễm, vi khuẩn có thể xâm nhập vào mô nướu xung quanh, gây ra viêm nhiễm và hình thành mủ.
Viêm tủy răng là một trong những nguyên nhân chính. Khi tủy răng bị viêm nhiễm, vi khuẩn có thể lan ra khu vực nướu xung quanh, tạo thành ổ viêm và túi mủ. Điều này thường xảy ra khi răng bị sâu nặng hoặc bị chấn thương.
Sưng nướu răng có mủ do bệnh nha chu gây ra
Bệnh nha chu là một trong những nguyên nhân phổ biến nhất gây ra sưng nướu răng có mủ. Đây là tình trạng viêm nhiễm các mô nâng đỡ răng, bao gồm nướu, dây chằng nha chu và xương ổ răng.
Khi mắc bệnh nha chu, các túi nha chu sẽ hình thành giữa răng và nướu, tạo điều kiện thuận lợi cho vi khuẩn phát triển. Nếu không được điều trị kịp thời, tình trạng này có thể dẫn đến hình thành mủ và gây ra nhiều biến chứng nghiêm trọng.

Phụ nữ đang mang thai và trong quá trình sinh nở
Phụ nữ mang thai thường có những thay đổi hormone đáng kể, điều này có thể ảnh hưởng đến sức khỏe răng miệng. Sự gia tăng hormone progesterone làm tăng lưu lượng máu đến các mô nướu, từ đó dẫn đến tình trạng viêm. Nếu không chú ý chăm sóc răng miệng cẩn thận, nướu có thể sưng tấy và hình thành mủ.
Ngoài ra, việc nghén hoặc cảm giác buồn nôn trong thời kỳ mang thai có thể khiến phụ nữ hạn chế việc đánh răng hay súc miệng đúng cách, tạo cơ hội cho vi khuẩn phát triển. Các nghiên cứu cho thấy rằng phụ nữ mang thai có nguy cơ cao mắc bệnh viêm nướu răng và nếu không được xử lý kịp thời, tình trạng này có thể ảnh hưởng đến cả sức khỏe của mẹ lẫn thai nhi.
Răng khôn là một trong những nguyên nhân gây ra tình trạng sưng nướu răng có mủ
Răng khôn, hay răng số 8, thường gặp phải những vấn đề nghiêm trọng khi chúng mọc. Đôi khi vị trí của răng khôn không đủ chỗ để phát triển bình thường, dẫn đến viêm nướu xung quanh. Khi sự chèn ép xảy ra, có thể xuất hiện các ổ viêm ở nướu, gây đau đớn và hình thành mủ.
Việc răng khôn bị càng vào bên trong có thể khiến thực phẩm dễ dàng dính lại và tạo điều kiện cho vi khuẩn phát triển. Người bệnh cảm thấy đau nhói khi nhai hoặc khi nghiền thức ăn, và nếu không điều trị ngay, tình trạng này có thể biến chứng thành áp-xe nướu.
Viêm nướu răng có túi mủ do thói quen chăm sóc răng miệng chưa hiệu quả của người bệnh
Chăm sóc răng miệng không đúng cách là một trong những nguyên nhân chính dẫn đến tình trạng sưng nướu răng có mủ. Việc không đánh răng đủ hai lần mỗi ngày hoặc lơ là với việc sử dụng chỉ nha khoa có thể tạo điều kiện thuận lợi cho mảng bám và vi khuẩn tích tụ ở quanh nướu.
Ngoài ra, không đi khám nha sĩ định kỳ cũng là một sai lầm lớn. Nha sĩ có thể giúp phát hiện sớm những dấu hiệu viêm nhiễm và hướng dẫn người bệnh cách chăm sóc răng miệng đúng cách. Hơn nữa, chế độ ăn uống không hợp lý, đặc biệt là tiêu thụ nhiều đường cũng góp phần lớn vào sự phát triển của viêm nướu và mủ.
Sưng nướu do viêm nhiễm bởi các nguyên nhân khác
Bên cạnh các nguyên nhân chính đã đề cập, còn nhiều yếu tố khác có thể gây ra tình trạng sưng nướu răng có mủ. Ví dụ, một số bệnh toàn thân như tiểu đường hay các vấn đề liên quan đến hệ miễn dịch cũng có thể tạo ra môi trường thuận lợi cho sự phát triển của vi khuẩn gây viêm.
Ngoài ra, thói quen hút thuốc lá sẽ làm tổn thương mô nướu, làm giảm khả năng hồi phục và tăng nguy cơ nhiễm trùng. Điều này đồng nghĩa với việc những người hút thuốc lá cần đặc biệt chú ý đến sức khỏe răng miệng của mình để tránh tình trạng sưng nướu có mủ.
Các triệu chứng của viêm nướu răng có mủ
Những người mắc phải tình trạng viêm nướu răng có mủ thường trải qua nhiều triệu chứng khác nhau, tùy thuộc vào mức độ nghiêm trọng của bệnh. Hiểu rõ về các triệu chứng này sẽ giúp người bệnh nhận biết sớm và chủ động tìm kiếm sự trợ giúp y tế.
Ở giai đoạn mới mắc bệnh
Trong giai đoạn mới mắc bệnh, triệu chứng thường rất mờ nhạt và dễ bị bỏ qua. Người bệnh có thể cảm thấy hơi nhức hoặc cảm giác cộm cục ở phía nướu mà không có biểu hiện rõ ràng. Thậm chí, đôi khi có thể xuất hiện tình trạng chảy máu nhẹ khi đánh răng.
Nếu để ý kỹ, bạn có thể nhận thấy màu sắc nướu bắt đầu chuyển sang đỏ tươi hơn bình thường, cho thấy có dấu hiệu viêm. Đây chính là thời điểm% người bệnh nên thực hiện các phương pháp chăm sóc răng miệng tốt hơn và tìm đến nha sĩ để kiểm tra.

Giai đoạn nặng
Khi bệnh tiến triển thành giai đoạn nặng, triệu chứng trở nên rõ nét hơn và khó chịu hơn. Nướu có thể bị sưng to và gây ra đau đớn dữ dội, có thể dẫn đến việc khó khăn trong ăn uống và nói chuyện. Người bệnh có thể cảm thấy mùi hôi trong miệng kèm theo hơi thở khó chịu, đây chính là dấu hiệu rõ rệt của việc tích tụ mủ và vi khuẩn.
Trong giai đoạn nặng, các túi mủ có thể hình thành và trở thành áp-xe nướu, gây đau đớn và có khả năng vỡ ra bất cứ lúc nào. Nếu không điều trị kịp thời, tình trạng này có thể lan rộng và gây ra nhiều biến chứng nguy hiểm cho sức khỏe răng miệng và toàn thân.
Phòng ngừa sưng nướu có mủ hiệu quả bằng cách nào?
Để phòng ngừa tình trạng sưng nướu răng có mủ, giáo dục và duy trì thói quen chăm sóc răng miệng đúng cách là vô cùng quan trọng. Dưới đây là một vài phương pháp hữu ích mà bạn có thể áp dụng hằng ngày.
Chăm sóc răng miệng đúng cách hàng ngày
Một chế độ chăm sóc răng miệng hiệu quả bao gồm việc đánh răng ít nhất hai lần mỗi ngày, mỗi lần tối thiểu 2 phút, và không quên sử dụng chỉ nha khoa để loại bỏ mảng bám giữa các kẽ răng. Sử dụng nước súc miệng kháng khuẩn sau khi đánh răng cũng là một bước -giúp giảm thiểu vi khuẩn và bảo vệ nướu.
Ngoài ra, hãy chú ý đến nơi bàn chải đánh răng. Thay thế bàn chải sau mỗi ba tháng hoặc khi lông bàn chải đã bị mòn. Nhớ lựa chọn loại bàn chải phù hợp với nhu cầu cá nhân, không quá cứng để tránh làm tổn thương nướu.

Khám nha sĩ định kỳ
Thăm khám nha sĩ định kỳ ít nhất hai lần mỗi năm là vô cùng quan trọng. Nha sĩ có thể giúp bạn phát hiện và điều trị sớm các vấn đề về răng miệng trước khi chúng trở nên nghiêm trọng. Họ có thể thực hiện công tác làm sạch chuyên sâu để loại bỏ mảng bám và cao răng, từ đó giúp giảm nguy cơ viêm nhiễm nướu.
Việc tham gia các buổi tư vấn và giáo dục về sức khỏe răng miệng tại các cơ sở nha khoa cũng giúp người bệnh nhận được những thông tin bổ ích, từ cách chăm sóc răng miệng đến chế độ ăn uống hợp lý.
Xây dựng lối sống lành mạnh
Một chế độ ăn uống cân bằng, giàu vitamin và khoáng chất sẽ giúp củng cố sức khỏe răng miệng tốt hơn. Hạn chế tiêu thụ thực phẩm chứa nhiều đường và axit có thể làm tăng nguy cơ mắc bệnh nha chu và sưng nướu.
Bên cạnh đó, việc tránh xa thuốc lá cũng là một biện pháp phòng ngừa hiệu quả. Thuốc lá không chỉ gây hại cho sức khỏe tổng thể mà còn làm tăng nguy cơ mắc các bệnh lý về răng miệng.
Kết luận
Sưng nướu răng có mủ là một vấn đề nghiêm trọng, không chỉ đơn thuần là triệu chứng mà còn là dấu hiệu cảnh báo của nhiều bệnh lý răng miệng nguy hiểm. Với các thông tin đây, bạn đã biết được nguyên nhân, triệu chứng và cách phòng ngừa hiệu quả. Quan trọng nhất là cần duy trì thói quen chăm sóc răng miệng tốt và thường xuyên thăm khám nha sĩ để đảm bảo sức khỏe răng miệng luôn ở trạng thái tốt nhất. Bảo vệ nụ cười của bạn không chỉ là vấn đề thẩm mỹ mà còn là bảo vệ sức khỏe tổng thể của bản thân.

