Răng mọc thừa phía trong hàm dưới phải làm sao?
Răng mọc thừa phía trong hàm dưới phải làm sao? là thắc mắc được nhiều người đưa ra . Bài viết dưới đây sẽ giúp bạn giải đáp chi tiết thắc mắc trên và những vấn đề liên quan . Cùng Nha khoa Singae tìm hiểu nhé !
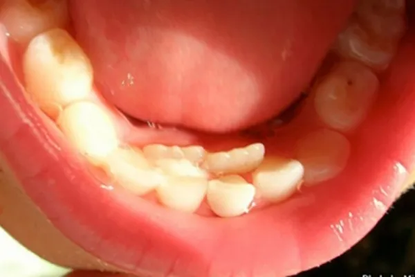
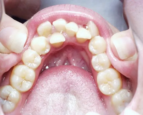
Răng mọc thừa phía trong hàm dưới là gì?

Răng mọc thừa phía trong hàm dưới là khi có thêm một hoặc nhiều chiếc răng mọc sai vị trí, thường nằm lệch vào phía trong hoặc ngoài hàng răng chính. Những chiếc răng này có thể gây khó khăn khi vệ sinh răng miệng, làm mất đi sự đều đẹp của hàm răng và ảnh hưởng đến việc ăn nhai.
Hiện tượng này có thể xảy ra ở bất kỳ độ tuổi nào. Nếu không được xử lý sớm, răng mọc thừa có thể gây ra các vấn đề như sâu răng, viêm nướu hoặc làm lệch khớp cắn. Người bị tình trạng này còn có thể cảm thấy khó chịu, đặc biệt khi ăn uống hoặc vệ sinh răng miệng.
Các loại răng mọc thừa ở hàm dưới

Răng mọc thừa ở hàm dưới có thể xuất hiện ở nhiều dạng khác nhau. Dưới đây là các kiểu phổ biến và dễ nhận biết:
- Răng mọc thừa vào phía trong:
- Răng mọc lệch vào bên trong, gần với lưỡi.
- Điều này có thể gây khó vệ sinh, dẫn đến tích tụ thức ăn và mảng bám, ảnh hưởng đến việc nhai.
- Răng mọc thừa ra phía ngoài:
- Răng mọc lệch ra ngoài, vượt khỏi hàng răng chính.
- Loại này dễ nhận thấy vì làm mất tính thẩm mỹ của hàm răng và có thể gây viêm hoặc kích ứng nướu.
- Răng mọc thừa ngầm dưới nướu:
- Răng nằm hoàn toàn hoặc một phần bên dưới nướu, không trồi lên bề mặt.
- Kiểu này khó phát hiện mà không đi khám, có thể gây đau hoặc các vấn đề khác nếu không xử lý kịp thời.
Nguyên nhân khiến răng mọc thừa phía trong hàm dưới?

Răng mọc thừa phía trong hàm dưới có thể xảy ra vì nhiều lý do khác nhau. Dưới đây là những nguyên nhân dễ hiểu và thường gặp:
- Do di truyền: Nếu gia đình bạn có người từng bị răng mọc thừa, bạn cũng có thể gặp tình trạng tương tự vì cấu trúc răng miệng thường được di truyền qua các thế hệ.
- Răng mọc không đều: Khi các răng mọc không theo thứ tự hoặc bị chậm so với bình thường, một số răng có thể mọc sai vị trí, gây hiện tượng mọc thừa.
- Mất răng sớm: Nếu bạn bị mất răng sữa hoặc răng vĩnh viễn quá sớm, các răng xung quanh có thể di chuyển để lấp chỗ trống, khiến răng mới mọc lên bị lệch hoặc sai vị trí.
- Thói quen xấu: Các thói quen như mút tay, cắn móng tay, hoặc sử dụng núm vú giả trong thời gian dài có thể ảnh hưởng đến sự phát triển của răng, dẫn đến tình trạng răng mọc sai vị trí.
Răng mọc thừa phía trong hàm dưới có nguy hiểm không?

Răng mọc thừa ở hàm dưới có thể không gây vấn đề ngay lập tức, nhưng nếu không xử lý kịp thời, nó có thể dẫn đến nhiều rắc rối. Dưới đây là những tác hại thường gặp:
- Dễ sâu răng và viêm nướu: Vì nằm ở vị trí khó vệ sinh, răng mọc thừa dễ bị bám thức ăn và mảng bám, gây sâu răng và viêm nướu.
- Làm lệch khớp cắn: Răng mọc sai chỗ có thể khiến các răng khác bị đẩy lệch, dẫn đến khớp cắn không đều, gây khó khăn trong việc nhai.
- Gây đau nhức: Răng thừa có thể chèn ép các răng bên cạnh hoặc làm tổn thương nướu, khiến bạn cảm thấy đau và khó chịu.
- Ảnh hưởng đến thẩm mỹ: Răng mọc lệch làm mất đi sự đều đặn của hàm răng, ảnh hưởng đến vẻ ngoài và sự tự tin khi giao tiếp.
Cách điều trị răng mọc thừa phía trong hàm dưới
Răng mọc thừa ở hàm dưới có thể gây nhiều rắc rối về sức khỏe và thẩm mỹ. Dưới đây là các phương pháp điều trị dễ hiểu và hiệu quả nhất:
- Niềng răng: Niềng răng là cách phổ biến và phù hợp nếu răng mọc thừa không quá nghiêm trọng. Phương pháp này giúp di chuyển răng mọc sai vị trí về đúng chỗ, đồng thời cải thiện vẻ đẹp và chức năng của hàm răng.
- Nhổ bỏ răng thừa: Nếu răng thừa gây chèn ép hoặc không thể điều chỉnh bằng niềng, bác sĩ sẽ chỉ định nhổ răng. Nhổ răng thừa giúp tránh các vấn đề như lệch khớp cắn hoặc đau nhức kéo dài.
- Phẫu thuật chỉnh hình: Trong trường hợp răng mọc thừa ảnh hưởng đến xương hàm hoặc gây biến dạng hàm mặt, phẫu thuật là phương pháp cần thiết để điều chỉnh cấu trúc xương và răng.
- Dùng khí cụ chỉnh nha: Đối với các trường hợp nhẹ, khí cụ chỉnh nha như niềng trong suốt hoặc các dụng cụ hỗ trợ khác có thể giúp đưa răng thừa về vị trí mà không cần can thiệp phẫu thuật.
Tại sao cần điều trị sớm?
Răng mọc thừa có thể gây khó khăn khi ăn nhai, khó vệ sinh răng miệng, và tăng nguy cơ các vấn đề như sâu răng, viêm nướu. Điều trị kịp thời không chỉ ngăn chặn những rắc rối này mà còn giúp hàm răng trở nên đều đẹp, mang lại sự tự tin khi giao tiếp.
Nếu bạn phát hiện răng mọc thừa phía trong hàm dưới, hãy đến nha khoa sớm để được bác sĩ kiểm tra và tư vấn. Chọn cơ sở nha khoa uy tín với bác sĩ giàu kinh nghiệm sẽ giúp bạn yên tâm hơn trong quá trình điều trị và đạt kết quả tốt nhất.

