Tiêu xương răng là gì? Có nguy hiểm không, cách phòng ngừa
Tiêu xương răng là một tình trạng nghiêm trọng mà nhiều người có thể gặp phải, nhưng không phải ai cũng hiểu rõ về nó. Chúng ta thường chỉ chú ý đến sự mất mát của một chiếc răng mà không nhận ra rằng nó còn ảnh hưởng đến xương ổ răng xung quanh. Khi xương ổ răng bị tiêu, không chỉ hiển thị ra những hậu quả về mặt thẩm mỹ mà còn có thể gây ra những vấn đề về sức khỏe miệng và chức năng ăn nhai. Trong bài viết này, chúng ta sẽ cùng nhau tìm hiểu sâu hơn về tình trạng tiêu xương răng, các nguy hiểm tiềm tàng, cũng như phương pháp phòng ngừa và điều trị hiệu quả.
Tiêu xương răng là gì?
Tiêu xương răng không chỉ đơn thuần là sự suy giảm mật độ và thể tích của xương ổ răng mà còn phản ánh một quá trình phức tạp liên quan đến sự can thiệp của nhiều yếu tố khác nhau. Để hiểu rõ hơn về định nghĩa và nguyên nhân của tình trạng này, chúng ta cần phân tích kỹ lưỡng các khái niệm liên quan.
Định nghĩa tiêu xương răng
Tiêu xương răng được hiểu là tình trạng mà xương ổ răng suy giảm về mật độ, chiều cao, và thể tích. Đây là một quá trình diễn ra âm thầm và thường bị bỏ qua cho đến khi người bệnh nhận thấy những biểu hiện rõ rệt.
Điều này có thể xảy ra khi bị mất răng hoặc do các yếu tố khác như vi khuẩn hay cao răng. Sự tiêu xương không chỉ ảnh hưởng đến hình dáng của khuôn mặt mà còn dẫn đến hàng loạt vấn đề khác liên quan đến chức năng ăn nhai.

Nguyên nhân gây tiêu xương răng
Có hai nhóm nguyên nhân chính dẫn đến tình trạng tiêu xương răng. Nhóm đầu tiên là tiêu xương không do mất răng; thường gặp ở những trường hợp có cao răng hay do sự tấn công của vi khuẩn.
Các vi khuẩn này có thể gây ra viêm nướu, từ đó làm xương ổ răng bị tổn thương và dẫn đến tiêu xương. Nhóm nguyên nhân thứ hai là tiêu xương do mất răng. Khi một chiếc răng bị mất, khoảng trống sẽ hình thành, làm cho xương ổ răng không còn được kích thích và dễ dàng bị tiêu đi.
Ảnh hưởng của tiêu xương răng đến sức khỏe
Sự tiêu xương không chỉ ảnh hưởng đến cấu trúc xương mà còn có thể dẫn đến các vấn đề nghiêm trọng về sức khỏe răng miệng. Điều này bao gồm sự thay đổi trong khớp cắn, chức năng ăn nhai, và thậm chí là sự lão hóa sớm của khuôn mặt. Việc hiểu rõ các ảnh hưởng này có thể giúp người bệnh có biện pháp phòng ngừa kịp thời trước khi quá muộn.
Tiêu xương răng nguy hiểm như thế nào?
Tiêu xương răng không chỉ đơn thuần là một triệu chứng mà còn là một bệnh lý có thể gây ra nhiều vấn đề nghiêm trọng. Từ những ảnh hưởng đến sức khỏe tổng thể cho đến những vấn đề về thẩm mỹ, sự tiêu xương có thể gây ra hàng loạt khó khăn cho người bệnh.
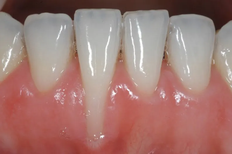
Hệ quả của tiêu xương răng đối với nướu và răng
Một trong những hậu quả rõ rệt nhất của tiêu xương răng là tình trạng tụt nướu. Khi xương ổ răng bị tiêu, nướu không còn được hỗ trợ và dễ dàng bị kéo xuống. Điều này dẫn đến chân răng bị lộ ra ngoài, tạo điều kiện cho vi khuẩn tấn công và gây ra các bệnh lý về nướu.
Khi nướu viêm nhiễm, không chỉ làm giảm sức khỏe răng miệng mà còn có thể dẫn đến mất răng nếu không được điều trị kịp thời. Các triệu chứng này không chỉ đau đớn mà còn làm giảm chất lượng cuộc sống của người bệnh.

Sự chuyển động và lung lay của răng
Khi xương ổ răng bị tiêu, các chiếc răng trong hàm có thể bị xô lệch, nghiêng vẹo, và dễ dàng lung lay. Điều này không chỉ ảnh hưởng đến chức năng ăn nhai mà còn gây ra sự khó chịu về mặt thẩm mỹ.
Tình trạng lung lay không chỉ làm giảm khả năng nhai mà còn cản trở sự phát triển của các răng khác trong hàm. Thậm chí, nếu không được điều trị kịp thời, điều này có thể dẫn đến mất răng hoàn toàn.
Tác động đến sức khỏe tổng thể
Ngoài những vấn đề liên quan đến răng miệng, tiêu xương răng còn có thể ảnh hưởng đến sức khỏe tổng thể của cơ thể. Việc ăn uống khó khăn dẫn đến sự thay đổi trong chế độ dinh dưỡng, có thể gây ra các bệnh lý khác về sức khỏe.
Hơn nữa, tình trạng mất răng cũng có thể dẫn đến những vấn đề tâm lý như tự ti, giảm chất lượng cuộc sống. Chúng ta không thể phủ nhận rằng sự tự tin của mỗi người có thể bị ảnh hưởng nghiêm trọng bởi tình trạng răng miệng.
Phòng ngừa và điều trị tiêu xương răng bằng cấy ghép Implant
Việc phòng ngừa và điều trị tiêu xương răng là hết sức cần thiết để duy trì sức khỏe răng miệng. Một trong những phương pháp hiện đại được nhiều người lựa chọn đó là cấy ghép Implant. Phương pháp này không chỉ giúp phục hồi chức năng ăn nhai mà còn ngăn ngừa quá trình tiêu xương.
Giữ gìn sức khỏe răng miệng
Phòng ngừa là yếu tố quan trọng đầu tiên trong việc kiểm soát tình trạng tiêu xương. Người bệnh cần giữ gìn sức khỏe răng miệng tốt, chăm sóc răng miệng hàng ngày và thường xuyên kiểm tra tại các nha khoa chuyên nghiệp. Việc lấy cao răng định kỳ là rất cần thiết để ngăn ngừa sự hình thành của vi khuẩn và cao răng.
Bên cạnh đó, việc điều trị sớm các triệu chứng viêm nướu cũng là một trong những biện pháp phòng ngừa không thể thiếu. Chỉ cần có dấu hiệu viêm nướu, người bệnh cần đến ngay cơ sở y tế để được kiểm tra và điều trị kịp thời.

Lợi ích của cấy ghép Implant
Cấy ghép Implant là một phương pháp hiện đại, an toàn và hiệu quả để khắc phục tình trạng mất răng. Không chỉ đơn thuần để phục hình răng, cấy ghép còn giúp giữ cho xương hàm vẫn được kích thích, từ đó ngăn ngừa tình trạng tiêu xương xảy ra.
Việc cấy ghép hiện nay ngày càng trở nên phổ biến và được áp dụng cho nhiều đối tượng, từ người trẻ tuổi đến cả người lớn tuổi đã từng bị tiêu xương. Chất lượng của các loại Implant hiện nay cũng được cải thiện rất nhiều, đem lại sự ổn định và thẩm mỹ cao.
Công nghệ hiện đại tại Nha khoa Singae
Tại Nha khoa Singae, phương pháp cấy ghép Implant được thực hiện với các trang thiết bị hiện đại nhất. Từ việc chụp CT Cone Beam 3D cho đến các xét nghiệm tự động, đảm bảo quá trình cấy ghép được diễn ra an toàn và hiệu quả nhất.
Điều này đồng nghĩa với việc người bệnh sẽ được tư vấn và điều trị dựa trên các thông tin chính xác nhất về tình trạng răng miệng của mình. Hơn nữa, sau khi cấy ghép, người bệnh cũng sẽ được tái khám và lấy cao răng bằng máy móc hiện đại để đảm bảo sức khỏe răng miệng được duy trì tốt nhất.
Kết luận
Tiêu xương răng là một vấn đề nghiêm trọng không chỉ ảnh hưởng đến sức khỏe răng miệng mà còn đến chất lượng cuộc sống của mỗi chúng ta. Việc hiểu rõ về tình trạng này sẽ giúp mỗi cá nhân đề ra các biện pháp phòng ngừa và điều trị kịp thời.
Cấy ghép Implant hiện nay là một trong những giải pháp hiệu quả, không chỉ khôi phục chức năng ăn nhai mà còn ngăn ngừa tình trạng tiêu xương. Đầu tư cho sức khỏe răng miệng không chỉ là đầu tư cho vẻ đẹp bên ngoài mà còn cho sức khỏe tổng thể của cơ thể.
Hãy chăm sóc nụ cười của bạn ngay từ hôm nay!

