Tụt lợi chân răng: Dấu hiệu và cách điều trị
Tụt lợi chân răng là gì? Tụt lợi chân răng có tự khỏi không? Tụt lợi nên kiêng ăn gì?…Đó là băn khoăn của rất nhiều khách hàng khi tìm hiểu về bệnh lý này. Để hiểu rõ hơn, chúng ta cùng đọc kỹ bài viết dưới đây nhé!
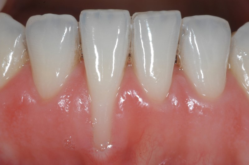
1. Thế nào là tụt lợi chân răng?
Tụt lợi chân răng là tình trạng lợi bị co rút về phía chân răng, về lâu dài sẽ gây ảnh hưởng nghiêm trọng đến sức khỏe răng miệng.
Tụt lợi có thể xảy ra ở cả 2 hàm, tuy nhiên sẽ dễ nhận thấy hơn ở những hàm có răng nanh. Đối với răng cửa và răng hàm thì tình trạng này sẽ hạn chế hơn.

2. Dấu hiệu khi bị tụt lợi chân răng
Một số dấu hiệu cho thấy bạn đang bị tụt lợi chân răng mà bạn có thể tham khảo như sau:
– Vùng chân răng bị chảy máu khi đánh răng, dùng chỉ nha khoa hoặc khi không có bất cứ tác động nào.
– Phần thân răng dài hơn so với bình thường, nướu co lại.
– Nướu có biểu hiện sưng đỏ, không bám vào răng.
– Hơi thở có mùi hôi
– Răng ê buốt, nhạy cảm hơn khi ăn uống hoặc chải răng.
3. Nguyên nhân dẫn đến tình trạng tụt lợi chân răng
Tụt lợi chân răng xuất phát từ nhiều nguyên nhân, trong đó bao gồm:
Viêm nha chu: Đây là bệnh nhiễm trùng do vi khuẩn phá huỷ. Khi bị viêm nha chu, mô lợi và các tổ chức hỗ trợ nâng đỡ răng bao gồm: Xương, dây chằng, nướu sẽ bị phá huỷ, từ đó khiến chân răng bị tụt lợi.
Di truyền: Trên thực tế, gel ảnh hưởng rất lớn tới sức khỏe răng miệng của khách hàng. Việc bố, mẹ, ông, bà có tiền sử mắc bệnh tụt lợi cũng là nguyên nhân khiến bạn gặp rắc rối với căn bệnh này.
Đánh răng quá mạnh: Khi khách hàng đánh răng sai cách, chải quá mạnh không chỉ làm mòn men răng mà còn kiến lợi dần bị tụt.
Cao răng: Cao răng hình thành từ những mảng bám, thức ăn thừa tích tụ trong thời gian dài. Việc cao răng tích tụ nhiều có thể gây viêm nha chu và tụt lợi chân răng.
Hút thuốc lá: Thuốc lá là nguyên nhân khiến nhiều vi khuẩn tích tụ trong khoang miệng. Vì thế, những người có thói quen hút thuốc lá không chỉ bị tụt lợi mà còn có nguy cơ mắc nhiều bệnh răng miệng khác.
Thói quen xấu: Thói quen nghiến răng có thể gây nhiều lực trên răng, khiến lợi ngày càng tụt nhiều hơn.
Thay đổi nội tiết tố: Khi có sự thay đổi về nội tiết tố như dậy thì, mang thai..) thì lợi của phụ nữ sẽ trở nên nhạy cảm hơn, khi này vi khuẩn dễ tấn công và gây tụt lợi.
4. Tụt lợi có tự khỏi không?
Nhiều khách hàng thường thắc mắc răng tụt lợi có tự khỏi hay không? Trên thực tế tụt lợi không thể tự khỏi do nướu không có khả năng tự bồi đắp như ban đầu. Chính vì vậy, khi tụt lợi nhẹ khách hàng có thể lấy cao răng, vệ sinh răng miệng . Còn trường hợp tụt lợi nặng hơn thì có thể tới các địa chỉ nha khoa uy tín để điều trị dứt điểm.
Tụt lợi chân răng nếu không được điều trị sẽ khiến cho chân răng bị lung lay và rụng bỏ. Chính vì thế, khách hàng nên điều trị càng sớm càng tốt.

5. Các cách điều trị tụt lợi chân răng hiện nay?
Như đã đề cập ở trên thì cách điều trị tụt lợi sẽ phụ thuộc vào mức độ nặng nhẹ khác nhau.
5.1 Với trường hợp nhẹ
Tụt lợi ở trường hợp nhẹ khách hàng chỉ cần thực hiện lấy cao răng, vệ sinh răng miệng với nước muối. Thực hiện đều đặn như vậy sẽ giúp ngăn chặn tình trạng tụt lợi diễn ra nhanh hơn.
5.2 Trường hợp nặng
Còn đối với trường hợp nặng hơn, cần tới cơ sở nha khoa để thực hiện tiểu phẫu ghép lợi thì sẽ phức tạp hơn và thường được chia thành 3 phương pháp:
- Sử dụng vạt tại chỗ: Vạt trượt bên, vạt xoay chếch, vạt nhú lợi kép, vạt trượt về phía cổ răng, vạt bán nguyệt.
- Sử dụng vạt rời lấy từ vị trí khác trong khoang miệng bao gồm: Các phương pháp ghép lợi tự do tự thân, ghép mô liên kết dưới biểu mô.
- Sử dụng màng nhân tạo kết hợp vạt tại chỗ: Các phương pháp dùng màng biểu mô đồng đồng loạt không không tế bào, tái sinh mô có hướng dẫn.
Mỗi một cách điều trị sẽ có ưu và nhược điểm riêng. Bác sĩ nha khoa sẽ dựa vào tình trạng thực tế của khách hàng để tư vấn phương pháp thích hợp nhất.
6. Bị tụt lợi nên kiêng ăn gì?
Khi bị tụt lợi, ngoài vấn đề cách điều trị thì nên ăn gì và không nên ăn gì cũng được rất nhiều người quan tâm. Khi bị tụt lợi thì bạn nên kiêng một số thực phẩm sau:
♦ Kiêng thực phẩm quá lạnh hoặc quá nóng
Lợi tụt khiến chân răng dễ bị chảy máu. Nếu sử dụng thực phẩm quá nóng hoặc quá lạnh sẽ khiến khách hàng cảm thấy đau đớn, gia tăng mức độ tổn thương.
Chính vì vậy, nếu bị tụt lợi thì nên tránh sử dụng thực phẩm quá nóng hoặc quá lạnh như: Ớt, hạt tiêu, nước đá, kem,…cho đến khi bệnh được chữa khỏi hoàn toàn.

♦ Tránh ăn thực phẩm dai, cứng
Thực phẩm quá dai hoặc quá cứng sẽ khiến bạn dùng lực hàm răng để làm nhỏ thức ăn mới có thể tiêu hoá được. Điều này sẽ tác động đến hàm răng khiến vùng lợi bị tổn thương.
Hơn nữa, các loại thực phẩm dai cứng cũng khiến cho việc vệ sinh trở lên khó khăn hơn. Điều này vô tình làm răng nguy cơ viêm nhiễm khiến bệnh trở nên khó điều trị hơn.

♦ Thực phẩm làm khô miệng
Miệng khô là điều kiện lý tưởng để vi khuẩn tấn công khiến bệnh trở lên nghiêm trọng hơn. Do đó, chúng ta cần hạn chế sử dụng các loại thực phẩm khô miệng để ngăn cản sự phát triển của vi khuẩn.
Bởi vậy, bạn nên tránh sử dụng các thực phẩm như: Đồ uống có cồn, nước ngọt, đồ uống có chứa cafein,….
♦ Thực phẩm quá ngọt
Thực phẩm có chứa hàm lượng đường cao sẽ là môi trường lý tưởng cho vi khuẩn phát triển và gây bệnh. Lúc này nướu tụt nhiều hơn, cơn đau xảy ra thường xuyên và dữ dội hơn khiến người bệnh suy nhược nhanh chóng.
Dưới đây là những thông tin về tụt lợi chân răng mà khách hàng có thể tham khảo. Nếu khách hàng có nhu cầu điều trị bệnh lý này thì hãy liên hệ với nha khoa Singae để thăm khám và tư vấn miễn phí nhé!

