Tủy răng chết là gì? Nguyên nhân, triệu chứng và cách trị
Tủy răng chết ( răng chết tủy ) là gì , có nguy hiểm không là thắc mắc được nhiều người đưa ra . Bài viết dưới đây sẽ chia sẻ nguyên nhân , dấu hiệu và cách xử lý khi tủy răng chết . Cùng Nha khoa Singae tìm hiểu nhé !
Tủy răng chết là gì?
Tủy răng chết là trạng thái khi mô tủy bên trong răng không còn sống và không có khả năng hoạt động nữa. Tủy răng là phần nằm ở trung tâm của răng, chứa các dây thần kinh, mạch máu và mô liên kết, giúp duy trì sức khỏe và nuôi dưỡng răng.

Dấu hiệu răng chết tủy
Tủy răng nằm bên trong răng, có vai trò quan trọng trong việc nuôi dưỡng và giữ cho răng khỏe mạnh. Khi tủy bị tổn thương hoặc chết, răng sẽ có những dấu hiệu cụ thể. Các biểu hiện này thay đổi theo từng giai đoạn của bệnh.
Giai đoạn tủy răng bị tổn thương nhẹ
Trong giai đoạn đầu, tủy răng bị viêm nhưng vẫn có khả năng hồi phục nếu điều trị đúng cách. Một số dấu hiệu thường gặp là:
- Cảm giác ê buốt, đau răng thoáng qua, đặc biệt vào ban đêm.
- Răng nhạy cảm hơn với đồ ăn, thức uống nóng hoặc lạnh, gây ra cơn đau kéo dài sau đó.
Nếu được phát hiện sớm, việc điều trị sẽ đơn giản và có thể cứu được tủy răng. Tuy nhiên, vì các triệu chứng này không rõ ràng, nhiều người dễ bỏ qua, dẫn đến tình trạng bệnh trở nên nghiêm trọng hơn.

Giai đoạn viêm tủy cấp tính
Khi tủy bị tổn thương nặng hơn, các triệu chứng trở nên rõ ràng và gây nhiều bất tiện hơn:
- Cơn đau âm ỉ, liên tục, có thể lan đến hàm, nướu hoặc nửa mặt.
- Đau dữ dội hơn khi nhai, cắn hoặc có tác động vào răng.
- Nướu quanh răng bị sưng đỏ, chân răng có mủ, kèm theo mùi hôi miệng khó chịu.
- Răng rất dễ ê buốt, ngay cả khi chỉ chạm nhẹ.
Giai đoạn tủy răng bị hoại tử
Đây là giai đoạn nặng nhất khi tủy răng chết hoàn toàn. Lúc này, bạn có thể không còn cảm giác đau vì tủy đã mất chức năng, nhưng các vấn đề khác sẽ xuất hiện:
- Dịch tủy bị phân hủy chảy ra, gây mùi hôi khó chịu trong miệng.
- Vi khuẩn từ tủy hoại tử có thể lan ra các khu vực xung quanh, gây viêm nhiễm nướu và xương hàm.
- Nếu không được điều trị, răng có thể bị lung lay, mất chỗ bám và cuối cùng phải nhổ bỏ.
Nguyên nhân khiến tủy răng chết
Răng chết tủy thường xảy ra do nhiều lý do khác nhau, bao gồm:
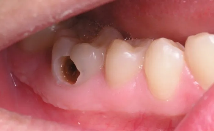
Sâu răng nghiêm trọng
Sâu răng là nguyên nhân phổ biến nhất, xảy ra khi vệ sinh răng miệng không đúng cách, tạo điều kiện cho vi khuẩn tích tụ và axit từ mảng bám phá hủy men răng. Khi men răng bị tổn thương, vi khuẩn sẽ tấn công vào sâu hơn, gây tổn thương ngà và cuối cùng là tủy răng. Nếu không điều trị kịp thời, tình trạng này có thể dẫn đến tủy răng bị hỏng và chết.

Chấn thương hoặc tác động mạnh
Các tai nạn, va chạm mạnh hoặc việc ăn nhai đồ cứng quá thường xuyên có thể làm răng bị nứt, gãy hoặc vỡ. Khi cấu trúc răng bị tổn hại, các mạch máu và dây thần kinh bên trong tủy dễ bị đứt hoặc tổn thương, dẫn đến việc tủy không còn được nuôi dưỡng và dần bị chết.
Các bệnh lý trong khoang miệng
Những bệnh lý như viêm nha chu, nhiễm trùng nướu, áp xe răng hoặc viêm chân răng nếu để kéo dài mà không điều trị sẽ khiến vi khuẩn lan đến tủy, gây viêm và dẫn đến tình trạng chết tủy.
Chết tủy răng có nguy hiểm không?
Tủy răng chết gây ra nhiều vấn đề nghiêm trọng cho sức khỏe răng miệng:

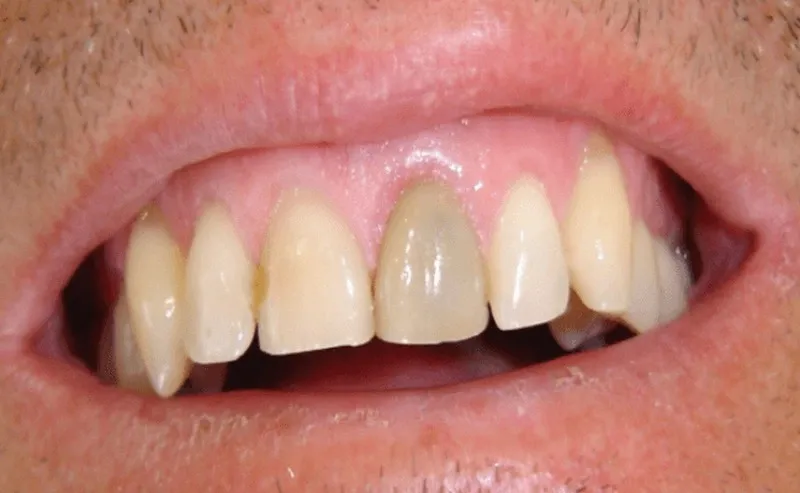
- Răng đổi màu (vàng, nâu hoặc đen), hơi thở có mùi hôi.
- Nướu sưng, răng yếu, dễ bị ê buốt hoặc gãy khi nhai.
- Vi khuẩn từ tủy chết có thể lan ra các khu vực khác, gây viêm quanh cuống răng, tiêu xương hàm, viêm hạch và nguy cơ mất răng.
Nếu không được điều trị, tình trạng này không chỉ ảnh hưởng đến chức năng nhai mà còn gây biến chứng nặng nề cho xương và nướu.
Răng chết tủy tồn tại được bao lâu?
Thời gian sử dụng răng chết tủy phụ thuộc vào phương pháp điều trị và cách chăm sóc:
- Không điều trị: Răng chết tủy có thể sử dụng tạm thời trong thời gian ngắn (khoảng 1 năm), nhưng cấu trúc sẽ ngày càng giòn, dễ vỡ. Nếu không được trám kín hoặc bọc sứ, răng dễ tích tụ vi khuẩn và mảng bám, làm giảm đáng kể tuổi thọ.
- Được điều trị: Sau khi lấy tủy và bọc sứ, răng có thể tồn tại từ 10-20 năm. Tuy nhiên, do không còn được nuôi dưỡng, răng sẽ dần yếu đi theo thời gian và dễ bị sứt mẻ.

Phương pháp điều trị răng chết tủy
Tùy thuộc vào tình trạng cụ thể, bác sĩ sẽ áp dụng các giải pháp sau:
- Lấy tủy và bảo tồn răng: Phần tủy chết được loại bỏ, ống tủy làm sạch và trám kín để ngăn vi khuẩn xâm nhập. Sau đó, bác sĩ có thể khuyên bọc răng sứ để bảo vệ và tăng độ bền.
- Nhổ răng: Trường hợp răng không thể phục hồi, bác sĩ sẽ chỉ định nhổ bỏ. Sau khi nhổ, nên trồng răng thay thế để tránh tiêu xương hàm và đảm bảo khả năng nhai.
Giải đáp thắc mắc về răng chết tủy
Răng chết tủy có trám được không?
Có, răng chết tủy vẫn có thể được trám nếu phần chân răng và cấu trúc còn đủ chắc chắn. Tuy nhiên, trước khi trám, cần thực hiện lấy tủy răng để loại bỏ phần tủy đã chết và làm sạch ống tủy. Sau đó, bác sĩ sẽ trám kín ống tủy và phục hình răng bằng phương pháp phù hợp, như bọc răng sứ, để bảo vệ răng lâu dài.
Răng chết tủy có nên nhổ không?
Không phải tất cả các trường hợp tủy răng chết đều cần nhổ. Việc nhổ răng chỉ áp dụng khi:
- Răng bị tổn thương quá nghiêm trọng, lung lay hoặc không thể phục hồi.
- Nhiễm trùng đã lan rộng đến xương hàm hoặc các khu vực xung quanh.
Trong các trường hợp răng còn đủ điều kiện, bác sĩ sẽ ưu tiên điều trị và bảo tồn răng. Bọc răng sứ sau điều trị tủy là cách giúp răng bền chắc và sử dụng được lâu dài.
Răng chết tủy để lâu có sao không?
Tủy răng chết nếu để lâu mà không điều trị có thể gây ra nhiều vấn đề nghiêm trọng, bao gồm:
- Nhiễm trùng lan rộng: Vi khuẩn từ tủy hoại tử có thể lan sang xương hàm, gây viêm quanh cuống răng, tiêu xương hoặc áp xe.
- Hư hại cấu trúc răng: Răng không còn được nuôi dưỡng sẽ trở nên giòn, dễ vỡ.
- Ảnh hưởng đến răng và nướu xung quanh: Vi khuẩn có thể lây lan, gây viêm nướu, viêm nha chu và các bệnh lý khác.
Do đó, việc điều trị sớm là rất quan trọng để bảo vệ sức khỏe răng miệng và tránh các biến chứng nguy hiểm.
Chi phí điều trị răng chết tủy
Chi phí điều trị tủy răng chết phụ thuộc vào nhiều yếu tố như tình trạng răng, số lượng răng cần điều trị, và phương pháp phục hình. Cụ thể:
- Điều trị tủy răng: Dao động từ 500.000 – 3.000.000 VNĐ tùy loại răng (răng cửa, răng hàm trước, hoặc răng hàm lớn).
- Bọc răng sứ: Tùy loại sứ, chi phí dao động từ 1.500.000 – 10.000.000 VNĐ mỗi răng.
- Nhổ răng: Nếu cần nhổ, giá có thể từ 300.000 – 1.500.000 VNĐ tùy vị trí và tình trạng răng.
Bài viết dưới đây Nha khoa Singae đã giải đáp thắc mắc liên quan đến tủy răng chết . Hi vọng bài viết hữu ích với bạn !

