Khớp cắn đối đầu là gì? Nguyên nhân và cách điều trị
Khớp cắn đối đầu là tình trạng sai khớp cắn phổ biến . Vậy nguyên nhân dẫn đến tình trạng này là gì và cách điều trị ra sao? . Cùng Nha khoa Singae tìm hiểu chi tiết trong bài viết dưới đây nhé !
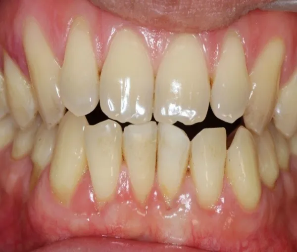
Khớp cắn đối đầu là gì?

Khớp cắn đối đầu, còn gọi là khớp cắn đối đỉnh, là tình trạng răng cửa hàm trên và hàm dưới chạm trực tiếp vào nhau khi bạn ngậm miệng ở trạng thái bình thường. Điều này khác với khớp cắn chuẩn, nơi răng cửa hàm trên trùm nhẹ lên răng cửa hàm dưới, tạo sự cân đối và hài hòa cho hàm răng.
Phân biệt khớp cắn chuẩn và khớp cắn đối đầu:

Khớp cắn chuẩn:
- Răng cửa hàm trên hơi phủ bên ngoài răng cửa hàm dưới.
- Khi ngậm miệng, rìa răng cửa hàm dưới chỉ chạm vào 2/3 mặt trong của răng cửa hàm trên.
- Các răng hàm phía sau chạm đều nhau ở mặt nhai, giúp cắn và nhai thức ăn dễ dàng.
Khớp cắn đối đầu:
- Răng cửa hai hàm chạm thẳng vào nhau khi ngậm miệng.
- Răng hàm phía sau có thể tiếp xúc hoặc không, tùy vào mức độ sai lệch.
- Nhìn trực diện, khó nhận ra sự khác biệt, nhưng nếu nhìn nghiêng, bạn sẽ thấy hàm trên hơi thụt vào so với hàm dưới.
Nguyên nhân dẫn đến tình trạng khớp cắn đối đầu

Khớp cắn đối đầu xảy ra khi hai hàm răng không khớp đúng cách, và có nhiều lý do dẫn đến tình trạng này. Dưới đây là những nguyên nhân phổ biến và dễ hiểu:
- Do di truyền: Nếu gia đình bạn có người bị khớp cắn đối đầu, bạn cũng có nguy cơ mắc phải vì yếu tố di truyền có ảnh hưởng đến sự phát triển của hàm răng. Các vấn đề khác như khớp cắn hở, khớp cắn sâu hay khớp cắn chéo cũng có thể do di truyền.
- Bẩm sinh: Tình trạng này có thể xảy ra khi hàm trên phát triển không đủ dài hoặc quá hẹp, trong khi hàm dưới phát triển vượt mức, dẫn đến hai hàm không khớp đúng vị trí.
- Thói quen từ nhỏ: Một số thói quen xấu trong thời thơ ấu có thể ảnh hưởng đến sự phát triển của hàm răng, chẳng hạn như:
- Sử dụng núm vú giả quá lâu.
- Mút ngón tay hoặc đẩy lưỡi.
- Bú bình trong thời gian dài thay vì tập ăn dần.
Khớp cắn đối đầu có nguy hiểm không?
Khớp cắn đối đầu tưởng chừng không quá nghiêm trọng, nhưng nếu không được xử lý kịp thời, tình trạng này có thể gây ra nhiều vấn đề khó chịu và nguy hiểm. Dưới đây là những ảnh hưởng thường gặp:
- Khớp hàm đau và mỏi: Hai hàm không ăn khớp khiến khớp hàm phải làm việc nhiều hơn, dẫn đến cảm giác đau, mỏi và khó khăn khi nhai thức ăn.
- Khó nhai và tiêu hóa kém: Răng hàm không chạm nhau làm thức ăn không được nghiền nát đúng cách, gây khó tiêu, đau dạ dày, hoặc các bệnh tiêu hóa khác.
- Răng bị mài mòn: Lực nhai tập trung quá nhiều vào răng cửa thay vì răng hàm, khiến răng cửa bị mòn nhanh chóng, ảnh hưởng đến thẩm mỹ và chức năng răng.
- Dễ bị sâu răng và viêm nướu: Khi men răng bị mòn, vi khuẩn dễ tấn công vào răng, gây ra sâu răng, viêm nướu, hoặc các vấn đề nghiêm trọng như viêm tủy răng hay viêm nha chu.
- Răng yếu và dễ hư tổn: Răng mòn quá mức sẽ yếu đi, dễ bị nứt, gãy hoặc thậm chí rụng, làm giảm khả năng nhai và ảnh hưởng đến sức khỏe răng miệng lâu dài.
- Giảm sự tự tin: Một hàm răng không đều khiến bạn ngại cười, mất tự tin khi giao tiếp và gây căng thẳng tâm lý.
Ba phương pháp niềng răng để điều chỉnh khớp cắn đối đầu

Khớp cắn đối đầu cần được chỉnh nha sớm để tránh các vấn đề về thẩm mỹ và chức năng răng miệng. Dưới đây là ba phương pháp niềng răng phổ biến hiện nay, giúp điều chỉnh hiệu quả tình trạng này:
1. Niềng răng mắc cài kim loại
Sử dụng hệ thống mắc cài và dây cung gắn trực tiếp lên răng để tạo lực kéo, di chuyển răng về vị trí mong muốn.
- Ưu điểm:
- Chi phí thấp nhất trong các phương pháp.
- Hiệu quả cao, phù hợp cho các trường hợp răng lệch, móm, hoặc khớp cắn đối đầu.
- Nhược điểm:
- Khí cụ lộ rõ, không thẩm mỹ.
- Có thể gây khó chịu, đôi khi làm tổn thương nướu, môi hoặc má.
- Khó vệ sinh răng miệng, dễ dẫn đến các vấn đề như sâu răng hoặc viêm nướu.
2. Niềng răng mắc cài sứ

Hoạt động tương tự như niềng mắc cài kim loại, nhưng mắc cài làm từ sứ, có màu sắc gần giống răng tự nhiên.
- Ưu điểm:
- Thẩm mỹ cao hơn vì mắc cài khó bị phát hiện.
- Chất liệu sứ không dễ gãy hoặc ố vàng.
- Nhược điểm:
- Chi phí cao hơn mắc cài kim loại.
- Mắc cài sứ thường to hơn, có thể gây cảm giác hơi vướng víu.
3. Niềng răng trong suốt Invisalign
Sử dụng bộ khay niềng trong suốt, được thiết kế riêng biệt, giúp răng di chuyển từ từ qua từng giai đoạn.
- Ưu điểm:
- Đảm bảo tính thẩm mỹ cao nhất, người khác khó nhận ra bạn đang niềng răng.
- Khay niềng có thể tháo ra, dễ dàng vệ sinh và ăn uống.
- Không lo bị bung dây cung hay mắc cài như các phương pháp khác.
- Nhược điểm:
- Chi phí cao nhất.
- Cần tuân thủ thời gian đeo khay nghiêm ngặt để đạt hiệu quả tốt.
Những câu hỏi thường gặp về khớp cắn đối đầu
Dưới đây là một số thắc mắc phổ biến về tình trạng khớp cắn đối đầu và câu trả lời dễ hiểu để bạn tham khảo:
Khớp cắn đối đầu có gây hại không?
Khớp cắn đối đầu ban đầu có vẻ không quá nghiêm trọng, nhưng nếu không điều trị sớm, nó có thể dẫn đến các vấn đề như mòn răng, nhai khó khăn, hoặc dễ mắc các bệnh về răng miệng. Vì vậy, nếu nhận thấy dấu hiệu bất thường, bạn nên đến nha khoa kiểm tra để tránh các biến chứng.
Niềng răng để chỉnh khớp cắn đối đầu có đau không?
Khi mới bắt đầu niềng răng, bạn có thể cảm thấy ê buốt hoặc đau nhẹ vì răng đang dần di chuyển về đúng vị trí. Tuy nhiên, cảm giác này chỉ kéo dài từ một đến vài tuần đầu, sau đó bạn sẽ quen và không còn khó chịu.
Niềng răng để sửa khớp cắn đối đầu mất bao lâu?

Thời gian niềng răng phụ thuộc vào mức độ lệch của khớp cắn. Thông thường, quá trình này kéo dài từ 18 đến 24 tháng. Với những trường hợp phức tạp, có thể mất đến 36 tháng để hoàn tất.
Để giữ gìn sức khỏe răng miệng và phát hiện sớm các vấn đề như khớp cắn đối đầu, bạn nên đi kiểm tra răng miệng định kỳ ít nhất 2 lần mỗi năm. Điều trị sớm không chỉ giúp bạn tránh được các rắc rối mà còn cải thiện chức năng nhai và mang lại hàm răng đẹp, khỏe mạnh.

