Khớp cắn ngược là gì? Nguyên nhân tác hại và cách điều trị
Tình trạng răng móm, hay còn được biết đến là khớp cắn ngược, là một dạng sai lệch khớp cắn nghiêm trọng. Không chỉ ảnh hưởng đến vẻ ngoài, tình trạng này còn gây ra nhiều khó khăn trong sinh hoạt và công việc. Vậy cần phải làm gì để khắc phục khớp cắn ngược?
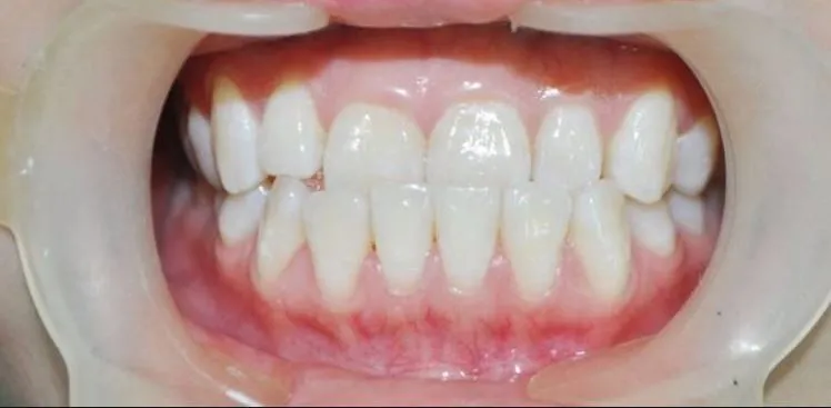
Khớp cắn ngược là gì?
Khớp cắn ngược, còn gọi là răng móm hay mặt lưỡi cày, là tình trạng hàm dưới nhô ra phía trước quá mức so với hàm trên. Nguyên nhân gây ra hiện tượng này rất đa dạng, từ yếu tố bẩm sinh, di truyền cho đến những tác động từ môi trường. Bên cạnh đó, các thói quen xấu khi còn nhỏ như mút tay, đẩy răng bằng lưỡi, sử dụng ti giả hoặc sự phát triển không đồng đều giữa xương hàm trên và dưới cũng có thể dẫn đến khớp cắn ngược.

Dạng sai lệch này thường được chia thành hai loại chính: khớp cắn ngược do răng và khớp cắn ngược do xương.
- Khớp cắn ngược do răng: Xuất hiện khi răng cửa hàm dưới mọc trước răng cửa hàm trên hoặc khi trẻ có thói quen trượt hàm sai lệch. Dấu hiệu nhận biết là răng cửa hàm dưới chìa ra ngoài và bao phủ răng cửa hàm trên. Nếu không được khắc phục sớm, tình trạng này có thể ảnh hưởng đến cấu trúc xương hàm, khiến khuôn mặt bị lõm hoặc gãy.
- Khớp cắn ngược do xương: Xảy ra khi xương hàm trên phát triển kém, xương hàm dưới phát triển quá mức hoặc cả hai. Ngoài ra, các dị tật như khe hở vòm miệng cũng là nguyên nhân gây ra tình trạng này. Dạng khớp cắn ngược này khiến răng cửa hàm trên luôn nằm ở phía trong so với răng cửa hàm dưới, dẫn đến sự mất cân đối khuôn mặt.
Nguyên nhân gây ra tình trạng khớp cắn ngược
Khớp cắn ngược có thể xuất hiện do nhiều yếu tố khác nhau, bao gồm bất thường ở răng, xương hàm hoặc cả hai.

- Khớp cắn ngược do răng: Dạng này thường xảy ra khi răng cửa hàm dưới chìa ra ngoài, che phủ răng cửa hàm trên. Phương pháp niềng răng có thể giúp điều chỉnh tình trạng này, nhưng nếu không xử lý kịp thời, răng dưới có thể gây áp lực lên xương và răng hàm trên, đặc biệt trong giai đoạn trẻ đang phát triển. Hậu quả là xương hàm trên không phát triển đầy đủ so với hàm dưới, dẫn đến khuôn mặt có dáng lõm hoặc gãy. Một số nguyên nhân chính bao gồm răng cửa hàm trên mọc chậm hơn răng cửa hàm dưới hoặc trẻ có thói quen trượt hàm sai lệch.
- Khớp cắn ngược do xương hàm: Tình trạng này xảy ra khi xương hàm trên phát triển không đủ hoặc xương hàm dưới phát triển quá mức. Ngoài ra, các dị tật như khe hở vòm miệng cũng có thể góp phần gây ra hiện tượng này. Hậu quả là xương hàm trên bị thiếu hụt kích thước, khiến răng cửa hàm trên luôn nằm bên trong hàm dưới. Đối với trường hợp nghiêm trọng, phẫu thuật chỉnh hình thường là giải pháp cần thiết, và thường được thực hiện sau 18 tuổi để đảm bảo sự phát triển của xương đã ổn định và khuôn mặt không còn thay đổi.
Tác hại của tình trạng khớp cắn ngược

- Làm khuôn mặt kém hài hòa và giảm tính thẩm mỹ: Khớp cắn ngược khiến phần cằm nhô ra phía trước, tạo cảm giác khuôn mặt dài hơn bình thường và không cân xứng. Điều này thường làm người mắc trông già hơn so với tuổi thật.
- Gây ảnh hưởng đến tâm lý: Sự thay đổi về ngoại hình có thể dẫn đến cảm giác tự ti, lo lắng, và hạn chế trong việc giao tiếp, khiến người mắc khó hòa nhập trong các tình huống xã hội.
- Gây trở ngại trong việc ăn uống: Sai lệch khớp cắn làm giảm khả năng cắn và nhai thức ăn, dẫn đến việc tiêu hóa khó khăn do thức ăn không được nghiền kỹ.
- Ảnh hưởng đến giọng nói và phát âm: Cấu trúc hàm không đúng có thể gây ra tình trạng phát âm không rõ ràng, nói ngọng hoặc nuốt âm, làm ảnh hưởng đến sự tự tin khi giao tiếp.
Các phương pháp điều trị khớp cắn ngược
Tùy vào tình trạng cụ thể và khả năng tài chính, người bệnh có thể lựa chọn các phương pháp điều trị phù hợp như phẫu thuật, bọc răng sứ hoặc niềng răng.
1. Phẫu thuật
Phẫu thuật chỉnh hình hàm là lựa chọn hiệu quả, đặc biệt trong các trường hợp khớp cắn ngược do xương. Thủ thuật này giúp điều chỉnh vị trí của xương hàm trên và dưới để tạo sự cân đối, từ đó cải thiện cả chức năng nhai và thẩm mỹ khuôn mặt. Ngoài ra, phương pháp này còn giúp khắc phục những bất thường về cấu trúc hàm, mang lại khuôn mặt hài hòa hơn.

2. Bọc răng sứ
Bọc răng sứ thường được áp dụng trong trường hợp lệch khớp cắn nhẹ do răng. Những lợi ích chính của phương pháp này bao gồm:
- Quá trình điều trị nhanh hơn so với niềng răng.
- Khả năng cải thiện hình dáng và màu sắc răng, phù hợp cho những ai có răng bị ố vàng hoặc xỉn màu.
- Răng sứ mang lại tính thẩm mỹ cao nhờ màu sắc tương đồng với răng thật.
- Độ bền vượt trội, sử dụng được tới 15 năm và chịu lực tốt hơn răng thật từ 3-4 lần.
Tuy nhiên, bọc răng sứ yêu cầu phải mài răng thật và chỉ thích hợp với tình trạng khớp cắn nhẹ.
3. Niềng răng
Niềng răng là phương pháp phổ biến nhất, phù hợp với cả trường hợp khớp cắn ngược từ nhẹ đến nặng. Phương pháp này không chỉ giúp răng trở về vị trí chuẩn mà còn bảo tồn răng thật tối đa, không cần mài răng như bọc sứ.
Niềng răng không chỉ điều chỉnh thẩm mỹ khuôn mặt mà còn hỗ trợ chức năng nhai tốt hơn, giúp khắc phục tình trạng răng lệch lạc hoặc sai khớp cắn. Đây là giải pháp lâu dài, mang lại hiệu quả toàn diện cho người bệnh, đặc biệt trong các trường hợp muốn giữ lại răng tự nhiên.
Bài viết trên đây Nha khoa Singae đã giải đáp thắc mắc khớp cắn ngược là gì? Nguyên nhân tác hại và cách điều trị . Hi vọng bài viết hữu ích với bạn !

