Vết đen giữa kẽ răng là gì? Nguyên nhân và cách khắc phục
Vết đen giữa kẽ răng là tình trạng nhiều người mắc phải. Bài viết dưới đây sẽ giới thiệu nguyên nhân, cách khắc phục và phòng ngừa vết đen giữa kẽ răng. Cùng Nha khoa Singae tìm hiểu nhé!
Vết Đen Giữa Kẽ Răng Là Dấu Hiệu Gì?
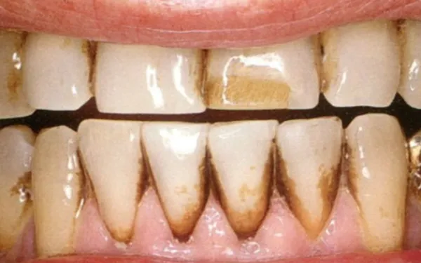
Vết đen giữa kẽ răng là những mảng tối màu xuất hiện ở khoảng cách giữa hai răng, thường dễ dàng nhìn thấy khi bạn cười hoặc nói chuyện. Mặc dù đôi khi đây chỉ là vấn đề thẩm mỹ, nhưng trong một số trường hợp, những vết đen này có thể là dấu hiệu cảnh báo các vấn đề nghiêm trọng về sức khỏe răng miệng. Dưới đây là một số nguyên nhân phổ biến gây ra tình trạng này.

Nguyên Nhân Gây Vết Đen Giữa Kẽ Răng
- Mảng bám và cao răng: Vệ sinh răng miệng không đúng cách dẫn đến mảng bám và cao răng tích tụ ở kẽ răng. Khi mảng bám không được làm sạch kịp thời, nó có thể cứng lại và chuyển màu đen hoặc nâu, tạo ra các vết đen ở các khoảng cách giữa các răng.
- Sâu răng: Sâu răng tại các vị trí kẽ răng là nguyên nhân phổ biến gây vết đen. Vi khuẩn trong miệng tấn công men răng, tạo ra các lỗ sâu có màu tối, đặc biệt ở những khu vực khó làm sạch, dễ bị bỏ qua trong quá trình chải răng.

- Thực phẩm và đồ uống: Các thói quen ăn uống như uống cà phê, trà, rượu vang đỏ hoặc hút thuốc lá có thể làm ố vàng răng, đặc biệt là ở các kẽ răng, nơi dễ dàng tích tụ màu sắc từ thực phẩm và đồ uống.
- Trám răng bị hỏng: Vật liệu trám răng có thể bị mài mòn hoặc thay đổi màu theo thời gian, dẫn đến việc hình thành các vết đen tại các vị trí trám, đặc biệt ở các kẽ răng.
- Các vấn đề khác: Trong một số trường hợp hiếm gặp, như nhiễm fluor hoặc tổn thương men răng, cũng có thể gây ra các đốm đen trên răng, đặc biệt là ở các vùng khó làm sạch.
Cách Khắc Phục Vết Đen Giữa Kẽ Răng
Tùy thuộc vào nguyên nhân gây ra vết đen, bạn có thể áp dụng một số phương pháp sau để khắc phục tình trạng này:
1. Vệ sinh răng miệng đúng cách
- Chải răng đúng kỹ thuật: Sử dụng bàn chải lông mềm và kem đánh răng chứa fluor, đánh răng ít nhất 2 lần/ngày để làm sạch mảng bám và ngăn ngừa vết đen.
- Dùng chỉ nha khoa: Chỉ nha khoa giúp làm sạch các mảng bám và vi khuẩn ở các kẽ răng, nơi bàn chải khó tiếp cận.
- Súc miệng: Sử dụng nước súc miệng kháng khuẩn để loại bỏ vi khuẩn và mảng bám còn sót lại.

2. Thăm khám nha sĩ
Nếu vết đen giữa kẽ răng là do sâu răng hoặc cao răng, bạn nên đến nha sĩ để xử lý:
- Cạo vôi răng: Nha sĩ sẽ loại bỏ cao răng và mảng bám cứng đầu mà chải răng thông thường không thể làm sạch.
- Trám răng: Nếu có lỗ sâu, bác sĩ có thể trám lại hoặc thay thế vật liệu trám cũ để phục hồi chức năng răng.
- Tẩy trắng răng: Nếu vết đen là do ố màu, tẩy trắng răng chuyên nghiệp sẽ giúp cải thiện tình trạng này.
3. Thay đổi thói quen sinh hoạt
- Hạn chế thực phẩm và đồ uống gây ố răng: Tránh uống quá nhiều cà phê, trà hoặc hút thuốc lá để giảm nguy cơ làm răng bị ố màu.
- Uống nước lọc: Sau khi ăn uống, hãy uống nước lọc để làm sạch khoang miệng và rửa trôi các mảnh vụn thức ăn.
4. Sử dụng sản phẩm làm trắng tại nhà
- Sản phẩm làm trắng: Các sản phẩm như kem đánh răng làm trắng hoặc miếng dán tẩy trắng có thể giúp giảm vết ố nhẹ. Tuy nhiên, trước khi sử dụng, bạn nên tham khảo ý kiến của nha sĩ để đảm bảo an toàn và hiệu quả.
Phòng Ngừa Vết Đen Giữa Kẽ Răng
Để hạn chế vết đen giữa kẽ răng và bảo vệ sức khỏe răng miệng, bạn có thể thực hiện một số biện pháp đơn giản nhưng hiệu quả:
1. Duy trì thói quen vệ sinh răng miệng đúng cách: Đánh răng ít nhất hai lần mỗi ngày bằng bàn chải lông mềm và kem đánh răng chứa fluor. Sử dụng chỉ nha khoa để làm sạch các kẽ răng, giúp ngăn ngừa mảng bám tích tụ.
2. Thăm khám nha sĩ định kỳ: Hãy đến nha sĩ kiểm tra sức khỏe răng miệng và làm sạch răng định kỳ mỗi 6 tháng. Việc này giúp loại bỏ cao răng và phát hiện sớm các vấn đề như sâu răng hoặc viêm lợi.

3. Hạn chế thực phẩm và thói quen gây hại cho răng: Giảm thiểu việc tiêu thụ thực phẩm và đồ uống có thể gây ố màu hoặc tích tụ mảng bám như cà phê, trà hoặc thuốc lá. Hãy tránh các thực phẩm quá nóng, lạnh hoặc quá cứng để bảo vệ răng.
4. Sử dụng ống hút khi uống đồ dễ gây ố răng: Khi uống các loại đồ uống có thể gây ố răng như cà phê, nước ngọt hoặc rượu vang, hãy sử dụng ống hút để giảm tiếp xúc trực tiếp với răng, giúp hạn chế nguy cơ bị vết đen hoặc ố vàng.
Khi Nào Cần Thăm Khám Nha Sĩ?
Nếu bạn phát hiện vết đen giữa các kẽ răng không biến mất dù đã vệ sinh sạch sẽ, hoặc nếu kèm theo các triệu chứng như đau răng, sưng lợi, bạn nên đến nha sĩ ngay. Đây có thể là dấu hiệu của sâu răng hoặc các vấn đề nghiêm trọng hơn cần được điều trị kịp thời. Việc thăm khám sớm giúp ngăn ngừa các biến chứng và duy trì sức khỏe răng miệng.
Bài viết trên đây Nha khoa Singae đã giới thiệu nguyên nhân, cách khắc phục và phòng ngừa vết đen giữa kẽ răng. Hi vọng bài viết hữu ích với bạn!

