Kiến thức nha khoa
Khớp cắn đối đầu là gì? Nguyên nhân và cách điều trị
Khớp cắn đối đầu là tình trạng sai khớp cắn phổ biến . Vậy nguyên nhân dẫn đến tình trạng này là gì và cách điều trị ra sao? ....
Răng mọc thừa phía trong hàm dưới phải làm sao?
Răng mọc thừa phía trong hàm dưới phải làm sao? là thắc mắc được nhiều người đưa ra . Bài viết dưới đây sẽ giúp bạn giải đáp chi tiết...
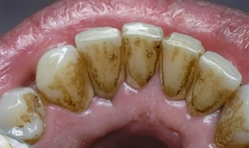
Vết đen giữa kẽ răng là gì? Nguyên nhân và cách khắc phục
Vết đen giữa kẽ răng là tình trạng nhiều người mắc phải. Bài viết dưới đây sẽ giới thiệu nguyên nhân, cách khắc phục và phòng ngừa vết đen giữa...
Rộp lưỡi ở trẻ em: Nguyên nhân, triệu chứng và cách trị
Rộp lưỡi ở trẻ em là tình trạng phổ biến ở trẻ khiến nhiều cha mẹ lo lắng. Bài viết dưới đây sẽ giới thiệu nguyên nhân, triệu chứng, cách...
Đặt band niềng răng để làm gì? Các loại band niềng răng
Band răng là gì , đặt band niềng răng để làm gì , có đau không ... là thắc mắc được nhiều người đưa ra . Bài viết dưới đây...
Bên trong má có đường trắng: Nguyên nhân và cách điều trị
Bên trong má có đường trắng là bị làm sao, có nguy hiểm không là thắc mắc được nhiều người đưa ra. Bài viết dưới đây sẽ giới thiệu nguyên...
Nổi cục cứng ở lợi không đau: Nguyên nhân và cách xử lý
Nổi cục cứng ở lợi không đau là tình trạng mà nhiều người gặp phải. Bài viết dưới đây sẽ giới thiệu nguyên nhân, cách xử lý và phòng ngừa...
Vòm miệng trẻ sơ sinh bị trắng: Nguyên nhân và cách xử lý
Vòm miệng trẻ sơ sinh bị trắng là bệnh gì, có nguy hiểm không là thắc mắc được nhiều phụ huynh đưa ra. Bài viết dưới đây sẽ giải thích...

