Răng có vết đen phải làm sao? Nguyên nhân và cách điều trị
Răng có vết đen là tình trạng nhiều người gặp phải , ảnh hưởng đến thẩm mỹ và là dấu hiệu cảnh báo 1 số bệnh . Cùng Nha khoa Singae tìm hiểu chi tiết nguyên nhân khiến răng bị vết đen và cách điều trị nhé !
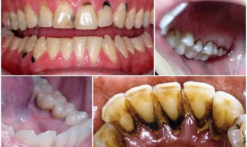
Răng có vết đen là gì?
Răng có vết đen là tình trạng khi bề mặt răng xuất hiện các đốm màu đen, thường do mảng bám màu vàng tích tụ và không được làm sạch, gây ra sự chuyển màu thành nâu đen hoặc đen. Hiện tượng này còn được gọi là cao răng đen.

Nguyên nhân răng có vết đen
Răng có vết đen có thể do một số nguyên nhân sau đây.

- Mảng bám màu đậm thường hình thành ở khu vực gần lợi, đặc biệt khi tiếp xúc với các thực phẩm và đồ uống có màu như cà phê, trà, sô cô la, cola, nước ép cà rốt hay khi hút thuốc. Nếu không được vệ sinh đúng cách, mảng bám sẽ dần chuyển từ màu vàng sang màu nâu đen hoặc đen. Việc đánh răng đúng kỹ thuật có thể giảm mảng bám, nhưng những khu vực như mặt trong răng và gần lợi thường bị bỏ sót, dẫn đến hình thành vết đen.
- Cao răng đen (vôi răng) là mảng bám cứng xuất hiện trên các mặt răng, đặc biệt là khu vực trên và dưới lợi. Ban đầu, mảng bám có màu vàng hoặc nâu và có thể dễ dàng làm sạch, nhưng khi tiếp xúc với các yếu tố bên ngoài và vi khuẩn, chúng sẽ cứng lại và chuyển thành màu đen. Những người hút thuốc hoặc sử dụng nhiều thức uống như cà phê, trà mà không chăm sóc răng miệng đúng cách thường gặp phải tình trạng này.
- Sâu răng cũng có thể là nguyên nhân gây ra vết đen trên răng, đặc biệt là ở khu vực gần lợi. Khi không vệ sinh kỹ, vi khuẩn gây sâu sẽ xâm nhập vào răng và làm ngà răng chuyển sang màu đen như một cách tự vệ, giúp hạn chế sự phát triển của lỗ sâu.
- Mão răng (Chụp răng): Đôi khi, vết đen có thể xuất hiện ở viền của chụp răng do sự oxy hóa của kim loại sau một thời gian sử dụng. Kết hợp với mảng bám và thức ăn tích tụ tại viền chụp, hiện tượng này sẽ tạo thành một đường viền đen quanh răng, làm giảm tính thẩm mỹ.
Những vị trí dễ xuất hiện vết đen trên răng
Vết đen có thể hình thành ở nhiều vị trí trong miệng, từ răng cửa đến răng hàm và răng khôn. Cụ thể:
Vết đen trên răng cửa
Đối với răng cửa, vết đen thường xuất hiện ở các vùng như chân răng, kẽ răng, hoặc mặt trong của răng. Nguyên nhân chủ yếu là do vệ sinh răng miệng không đúng cách, khiến mảng bám và thức ăn thừa dễ dàng tích tụ, dần dần gây ra đốm đen trên bề mặt răng.

Đốm đen trên răng hàm
Răng hàm, đặc biệt là khu vực phía trên của răng, là nơi dễ bị đen do bàn chải và chỉ nha khoa khó tiếp cận. Vì vậy, mảng bám và mảnh thức ăn còn sót lại có thể tạo thành vết đen nếu không được làm sạch kỹ lưỡng.
Vết đen trên răng khôn
Răng khôn, mọc ở vị trí cuối cùng trong hàm, thường gặp khó khăn trong việc vệ sinh do nằm khuất và dễ mọc lệch. Thức ăn và mảng bám dễ bị mắc lại tại vị trí này, gây ra tình trạng đen răng nếu không được chăm sóc kỹ. Tuy nhiên, tình trạng này khá khó phát hiện nếu không có dụng cụ nha khoa chuyên dụng.
Tại sao cần loại bỏ vết đen trên răng?
Vết đen trên răng, thường là mảng bám cứng, nếu không được làm sạch kịp thời, có thể gây ra những vấn đề sức khỏe nghiêm trọng cho răng miệng như:

- Viêm nướu và các vấn đề nha chu: Cao răng đen chứa vi khuẩn có thể tấn công và làm tổn thương nướu, dẫn đến các bệnh lý như viêm lợi và viêm nha chu. Việc này có thể làm suy yếu cấu trúc răng miệng và gây đau nhức.
- Mùi hôi miệng: Khi mảng bám chuyển sang màu đen, chúng sẽ tích tụ vi khuẩn, là nguyên nhân chính gây ra mùi hôi miệng. Điều này không chỉ ảnh hưởng đến sức khỏe mà còn làm giảm sự tự tin khi giao tiếp.
- Tụt nướu, tiêu xương và mất răng: Mảng bám cứng có thể làm mất sự liên kết giữa răng và nướu, dẫn đến tình trạng tụt nướu. Hơn nữa, nếu không được xử lý, cao răng có thể xâm lấn vào xương hàm, gây tiêu xương và nếu kéo dài sẽ dẫn đến mất răng.
Các phương pháp làm mờ vết đen trên răng tại nhà
Nếu vết đen trên răng là mảng bám nhẹ từ thói quen ăn uống, vệ sinh răng miệng chưa đúng cách hoặc do hút thuốc, bạn có thể áp dụng một số cách đơn giản sau để làm sáng lại răng:
- Chanh giúp làm sạch vết đen trên răng: Nước cốt chanh chứa axit tự nhiên có khả năng khử mùi và làm trắng răng hiệu quả. Bạn có thể dùng chanh để chà lên răng khoảng 2 lần mỗi ngày, mỗi lần từ 3-5 phút, để làm mờ vết đen và loại bỏ vi khuẩn.
- Muối giúp loại bỏ vết đen: Muối là nguyên liệu tự nhiên giúp khử trùng khoang miệng và làm sạch răng hiệu quả. Bạn có thể sử dụng muối để đánh răng hoặc pha muối với nước cốt chanh để làm sạch răng ít nhất 2 lần/ngày, mỗi lần 2-3 phút.
- Baking soda làm sáng răng: Baking soda là một công cụ hữu ích để loại bỏ mảng bám cứng đầu. Trộn một ít baking soda với kem đánh răng và vệ sinh răng miệng ít nhất 2 lần/ngày, giúp làm sạch và làm mờ các vết đen bám trên răng.
Cách điều trị răng có vết đen
Khi các biện pháp tự nhiên không mang lại kết quả, bạn có thể tham khảo những phương pháp nha khoa chuyên sâu dưới đây để làm sạch vết đen và phục hồi vẻ sáng bóng cho răng:
Lấy cao răng và Thổi cát
Lấy cao răng là một phương pháp phổ biến trong nha khoa, sử dụng sóng siêu âm để làm sạch hoàn toàn mảng bám và cao răng, giúp loại bỏ các vết bẩn mà bàn chải không thể tiếp cận. Phương pháp này diễn ra nhẹ nhàng, không gây đau đớn và không làm tổn thương nướu.

Khi vết đen vẫn còn sau khi cạo cao răng, phương pháp Thổi cát có thể được áp dụng. Sử dụng khí nén kết hợp với các hạt cát mịn, phương pháp này làm sạch sâu các kẽ răng và hố rãnh, giúp loại bỏ mảng bám cứng đầu và mang lại bề mặt răng sáng bóng hơn.
Trám răng
Trám răng là phương pháp được sử dụng khi vết đen xuất hiện do sâu răng nhẹ hoặc tổn thương không quá nghiêm trọng. Kỹ thuật này sử dụng vật liệu composite để lấp đầy các lỗ hoặc vết đen trên bề mặt răng, giúp cải thiện tính thẩm mỹ và phục hồi chức năng cho răng mà không cần phải thay thế hoàn toàn.

Bọc răng sứ
Khi các vết đen xuất hiện ở những vị trí nghiêm trọng hoặc khi răng đã bị hư hại nhiều, phương pháp bọc răng sứ là một lựa chọn hiệu quả. Quá trình này bao gồm việc phủ một lớp sứ lên răng, giúp phục hồi màu sắc tự nhiên và chức năng của răng, đồng thời bảo vệ khỏi các tổn thương thêm. Đây là giải pháp lâu dài, đặc biệt khi các phương pháp khác không mang lại kết quả như mong muốn.

Cách ngăn ngừa răng có vết đen hiệu quả
Để duy trì sức khỏe răng miệng tốt và giúp răng luôn trắng sáng, việc thực hiện vệ sinh răng miệng đúng cách mỗi ngày là điều vô cùng quan trọng. Điều này bao gồm việc chải răng ít nhất hai lần/ngày và sử dụng chỉ nha khoa để làm sạch kẽ răng. Đồng thời, hạn chế tiếp xúc với các loại thực phẩm có thể gây hại như đồ uống có gas, thực phẩm nhiều đường và các món ăn có màu sắc đậm.
Ngoài việc chăm sóc răng miệng hàng ngày, chế độ ăn uống cũng đóng vai trò quan trọng trong việc bảo vệ răng. Bạn nên ăn nhiều rau củ quả tươi, thực phẩm giàu canxi và protein để giúp răng chắc khỏe. Đồng thời, hạn chế tiêu thụ đồ ngọt và thực phẩm chế biến sẵn, vì chúng là nguyên nhân chính gây mảng bám và cao răng.
Để duy trì một hàm răng khỏe mạnh, việc thăm khám nha khoa định kỳ là điều cần thiết. Các bác sĩ sẽ giúp bạn phát hiện sớm các vấn đề răng miệng và đưa ra phương pháp điều trị thích hợp.

Chải răng đúng cách để bảo vệ răng khỏi vết đen
Một trong những biện pháp quan trọng để ngăn ngừa răng bị đen là duy trì việc chải răng đúng cách. Bạn nên chải răng ít nhất hai lần mỗi ngày và sử dụng bàn chải lông mềm. Bàn chải cần được thay mới sau mỗi ba tháng sử dụng hoặc khi lông bàn chải bị mòn.
Khi chải răng, nên chải theo chiều dọc của răng để làm sạch các bề mặt răng và kẽ răng, giúp loại bỏ mảng bám và vi khuẩn. Sử dụng kem đánh răng có fluoride để bảo vệ men răng và ngăn ngừa sâu răng.
Ngoài ra, đừng quên dùng chỉ nha khoa hàng ngày để làm sạch các kẽ răng. Điều này giúp loại bỏ thức ăn và mảng bám còn sót lại ở các kẽ răng, giảm thiểu nguy cơ hình thành vết đen.
Chế độ ăn uống có lợi cho răng miệng
Để ngăn ngừa vết đen trên răng, việc hạn chế tiêu thụ thực phẩm chứa đường và acid là rất quan trọng. Các loại thực phẩm này có thể làm yếu men răng và tạo điều kiện cho vi khuẩn gây sâu răng. Hãy uống đủ nước và vệ sinh răng miệng ngay sau mỗi bữa ăn để giữ cho răng luôn sạch sẽ và khỏe mạnh.
Khám nha khoa định kỳ để bảo vệ sức khỏe răng miệng
Thăm khám nha khoa định kỳ giúp phát hiện sớm các vấn đề về răng miệng như sâu răng, viêm lợi, cao răng, và mảng bám. Bác sĩ nha khoa sẽ kiểm tra tình trạng răng miệng của bạn và đưa ra các lời khuyên cần thiết, giúp bạn chủ động bảo vệ sức khỏe răng miệng và ngăn ngừa tình trạng răng bị đen.
Bài viết trên đây Nha khoa Singae đã trình bày chi tiết nguyên nhân , dấu hiệu và cách điều trị khi răng có vết đen . Hi vọng bài viết hữu ích với bạn !

